MENU
Cosmetic & Family Dentistry Logo
Contact Us

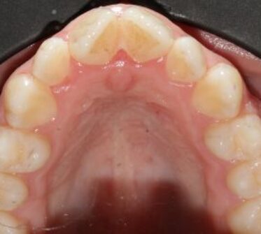
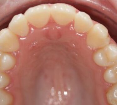
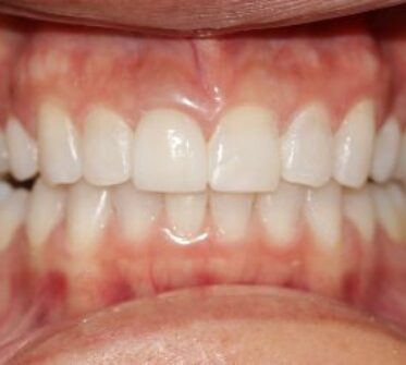
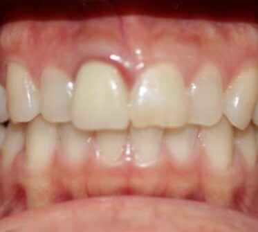
Case 1

Before - Cosmetic & Family Dentistry

Before

After - Cosmetic & Family Dentistry

After

Invisalign and Zirconia Crowns

Read More

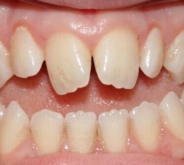
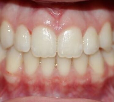
Case 1

Before - Cosmetic & Family Dentistry

Before

After - Cosmetic & Family Dentistry

After

Case 2

Before - Cosmetic & Family Dentistry

Before

After - Cosmetic & Family Dentistry

After

Case 3

Before - Cosmetic & Family Dentistry

Before

After - Cosmetic & Family Dentistry

After

instagram

Follow us on Instagram

Cosmetic & Family Dentistry Logo
Google Rating
Google Rating
4.9
Google Rating
Google Rating
4.9
Google Rating
Google Rating
4.9
Google Rating